治療前治療後のケース

- 他院でのトラブル
- - - 治療期間:-ヶ月
来院時及び経過
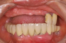
他院で3年前に上アゴ全体にインプラント6本を入れその上に固定性入れ歯を装着されておりましたが、経過不良に伴い1年経たずに2本以外は抜け落ちたため、事後の改善と再治療を希望され受診されました。どうしても義歯ではなく、インプラント治療を行い満足行く楽しい食生活をしたいとのご希望でした。
治療及び結果
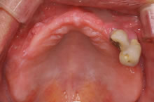
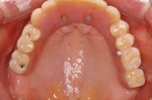
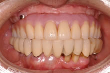
残りのインプラント2本も揺れていました。 CT検査の結果により、左右上奥のインプラントを支える骨が不足していました。そのため、揺れているインプラント撤去と同時に、支えるの骨を増やす特殊な手術、上顎洞底挙上術(サイナスリフト)を併用し、じっくり治療していけばインプラント治療が可能になることを説明しました。ご本人も術後の回復された後の状態がイメージでき、治療を希望され開始しました。 現在、丈夫な骨を再建する特殊な治療もインプラント6本を埋入終了し、仮歯を装着して美味しく食事をされています。 今後、下アゴにも15年以上前に入れてご自分の歯と連結されていますが揺れている経過が危ういインプラントがあるため、撤去し、再度、インプラントを予定しています。

【1】治療前写真1

【2】治療前写真2

【3】治療経過写真(上アゴに仮歯が入りました。)

















