治療前治療後のケース

- 両奥歯がない症例2
- 31歳 女性 治療期間:6ヶ月(現在治療中)
来院時及び経過
20代前半に、歯や歯並びのコンプレックスを解消するため、審美治療目的で歯を削るなど歯に負担のかかるブリッジ治療を繰り返し行なった経緯がある方です。そのうち治療をした部位は、取れたり、痛んだり、虫歯が発症したりでトラブルを抱えるようになり残念ながら手入れ不良もあって、歯そのものを残すことが不可能になりました。 今回、全体的にインプラント治療を望まれて来院されました。
治療及び結果
残すことが出来ない歯は抜歯を行い、下あごの左右の奥歯に2本ずつインプラントを埋入しました。 インプラントが安定するまで3カ月待機し、その間に他の歯の治療を行いました。 現在、前歯は仮歯ですが、今後セラミック修復を行なう予定です。 歯の修復、被せ直しのケースでは、精巧な仮の歯で様子を伺いながらじっくり時間をかけて治療を行うのが最善であり、最良の方法です。 少なくとも、3~6ヶ月は様子をみます。かみ合わせや顎の3次元的な動きやその生体のメカニクスは歯科医師が考える以上に複雑です。ゆえに焦らず、じっくり治しましょう。 しっかりとした治療は長く持ちます。

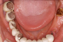
- 【治療前】
- 歯や被せ物に寿命が来ています。

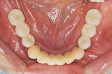
- 【現在(治療中)】
- 左右の奥歯に最終の被せ物が入った状態です。
前歯は今後セラミック治療を行なう予定です。
















