治療前治療後のケース

- 骨がなくインプラントを諦めていた方
- 60代 男性 / 治療期間:約3ヶ月
来院時及び経過
左下の部分入れ歯ではうまく咬めない。他院では左下の奥には骨が少なく、神経が近いので大掛かりな手術をして骨を増やさない限り、インプラント治療は出来ないと言われましたが、仕事に影響が出ないように配慮して、なんとか大きな負担なくインプラント治療をしてしっかり噛める様になりたいとのご希望で当院に来院されました。
治療及び結果
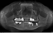
CT検査の結果より、当院では左下に短いショートインプラント(7mm)を使用することにより治療が十分可能と診断し、治療を開始しました。 インプラントを2本埋入し、しっかりと骨とインプラントが結合するのを2ヶ月待ち、セラッミクの歯を入れて終了。短いインプラントでも十分に固定され、左側でもしっかり咬んでいただけるようになりました。

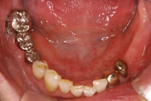
【1】初診時 左下の歯がない状態

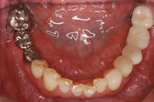
【2】3ヶ月後、最終のセラミックの人工歯が入った状態

【3】インプラント手術後のレントゲン写真
















