
STEP1 術前検査と準備
お口の中の検査、写真撮影、型取り、CT撮影、治療法の相談、
費用と治療期間の説明をします。

STEP2 仮歯の作製・クリーニング
手術後に装着する仮の歯をあらかじめ作製します。
必要があれば、仮の歯作製には2〜3回かかることもあります。
お口の中の衛生状況が悪ければ、クリーニングを行います。
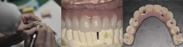
STEP3 All-on-4 手術当日の流れ
|
|||
|
|
|
||
|
||
|
||
|
||
![]() |
STEP4 手術後経過観察
手術後1〜2日 手術後の経過を確認します。
STEP5 抜糸
手術後1〜2週間 抜糸/手術後の経過を確認します。

STEP6 クリーニング
最終的な歯が完成するまで1ヶ月に1回クリーニングと噛み合わせの調整を行います。遠方の方の場合、 お近くの医院様にご依頼する体制をとっています。
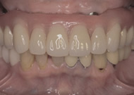
STEP7 最終的な歯の作製開始
手術後3〜6ヶ月 最終的な歯を入れるための型取りを行います。
フルオーダーメード仕上げとお考えください。完成まで4回ほどかかります。

STEP8 最終的な歯の完成
型取りから4〜5週間後に最終的な歯をインプラントに装着します。

STEP9 メインテナンス
その後は1〜3ヶ月に1度のメインテナンスに入ります。
高性能な人工パーツこそ、日頃のメインテナンスによって輝きを保ちます。
























