治療前治療後のケース

- 奥歯が1本ない方へ
- 30代 女性 治療期間:約7ヶ月
来院時及び経過
上アゴの左右奥歯が重度の虫歯によりほとんどなくなってしまい、食事の時に不自由を感じて来院されました。 重度のむし歯を残こしての治療は非常に困難であり、抜歯を選択せざるを得ませんでした。患者さんは見た目が美しく、他の歯を削って悪くすることのない、一番長持ちする治療を希望されました。最善の治療方法を十分に検討した結果、抜歯の同意を得てインプラントによる機能の回復を行うことになりました。
治療及び結果
抜歯後、傷の治りを約2ヶ月間待ってからインプラントを入れます。さらに4ヶ月間待ってインプラントが骨としっかり結合するのを確認し、最終的に白いセラミックスの歯を入れて終了です。

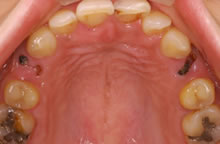
【1】初診時、左右の奥歯が重度の虫歯でほとんどなくなっている。

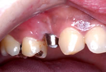
【2】インプラントが入り、歯茎も健康な状態。後は上に歯をつくるだけです。

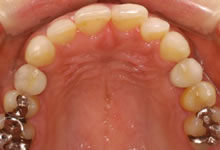
【3】奥歯に最終的な白いセラミックの歯が入ったところ。
















