治療前治療後のケース

- 両奥歯がない症例1
- 46歳 女性 治療期間:約6ヶ月
来院時及び経過
若い頃に歯を失いその後、部分入れ歯にされていましたが、よく噛めず何度か作り 変えておられたそうですが、その具合に満足できず悩んでいらっしゃいました。 結局、前歯ばかり使用されていたそうです。そのうち、上の前歯が前に押されだしてその不具合の調整で来院されましたが、インプラント治療の説明を行い奥歯をしっかりと固定すれば、前歯も安定すると伝え、治療に同意されました。
治療及び結果
下顎の左側に2本、右側に2本のインプラントを埋入しました。
通常のインプラントが安定するまで3カ月待機し、その間に他の歯の治療を行いました。
上下の前歯のかみ合わせによる当たりが強く、歯が動いていましたが、5ヶ月後、しっかりとした最終の歯を装着し安定性が得られ前歯の問題が改善されました。

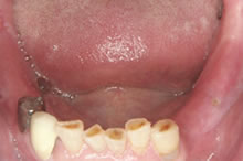
- 【術前】
- 左右の奥歯が無い状態です。
噛みあわせが強いため前歯が磨り減っています。

- 【術後】
- 左右の奥歯に最終の被せ物が入った状態です。
前歯も治療し、全体的に噛みあわせが安定性しました。
















