治療前治療後のケース

- 前歯が1本ない方へ
- 30代 女性 / 治療期間:約5ヶ月
来院時及び経過
右上の前歯のさし歯のぐらつきを気にされて来院。さし歯の元の歯の経過不良で抜歯が避けられない状況であり、状態の改善および見た目・機能面での回復が必要となり周りの歯を削らない、インプラント治療を希望されました。
治療及び結果
出来る限り切開などのダメージを加えず温存し、右上の前歯を抜くのと同時に即時にインプラントを入れて、強固な固定後すぐに仮の歯で見た目の自然観を回復。
その後インプラントが骨としっかり結合するのを約4ヶ月ほど待ってから最終的にセラミックスの歯を入れて終了。

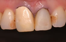
【1】初診時、右上の前歯がぐらぐらの状態であった。

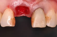
【2】ぐらぐらの右上の前歯を抜歯した後。

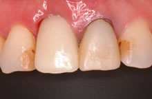
【3】右上の前歯を抜歯した同日に仮の歯をいれたところ。

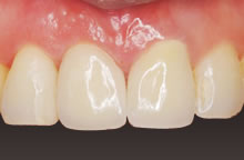
【4】前歯に最終的なセラミックの歯が入ったところ。
















