オールオンフォーインプラントモデル


大まかな内容はカウンセリングにて対応いたします。
より詳細な治療費、治療計画をお知りになりたい場合は個別のカウンセリングと検査後にご提示いたします。
インプラント治療の場合、手術時と数ヵ月後のオーダーメードの歯の完成時の2回に分けてお支払いいただいております。金額にはすべて含まれています。
- ※当センターでは全てノーベルバイオケア社の製品を採用しております。
- ※個人のお口の状態によって費用が異なりますので表示価格は参考例となります。
![]() |
![]() |
![]() |
||
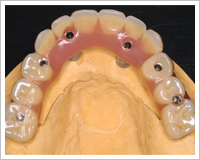
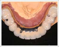
| ●インプラント埋入後 | ●当日使用高性能仮歯 | ●高精度チタンフレーム |
![]() |
![]() |
![]() |
||
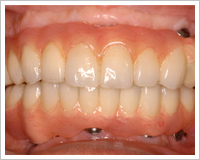
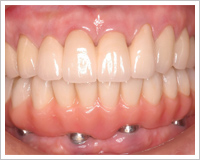
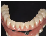
| ●アクリル樹脂加工 | ●口腔内装着時 | ●完成品 |
※写真はイメージです
![]() |
![]() |
![]() |
||
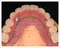
| ●インプラント埋入後 | ●当日使用高性能仮歯 | ●高精度チタンフレーム |
![]() |
![]() |
![]() |
||
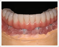
| ●ハイテクセラミック | ●口腔内装着時 | ●完成品 |
※写真はイメージです


























