価値ある最良の選択

以前は不幸にも総入れ歯状態にしなければならない方のインプラント治療は、インプラント体を10本前後使用し歯を再現しなければなりませんでした。しかも手術も複数回必要で術後のダメージもあり、治療期間の長期化(6ヶ月〜2年位)を招き、はたして本当に患者さんの側にたった最適な医療行為であるか自問自答したことがあります。結果、時間がかかったとしても完全な機能回復が図れれば、医療行為の歯科医学的妥当性は許容されていました。
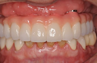
しかし、オールオン4のインプラント技術革新に伴い、その人が本来もっている骨格に沿ってインプラント体をいれることにより、最低本数(4〜6本)で人工の歯を支えることが可能となりました。

複数回かかる手術を見直し、治療回数は僅か1回、大幅な治療時間の短縮、術後のダメージの圧倒的短さゆえ、日常生活への復帰も各段に早く、今では最も体への負担の少ない安全なインプラント手術方法として世界的に高く評価されています。しかも同時に経済的な医療費の大幅な節約につながっています。なんと、医療費は従来法の半分程度です。
私は、歯科医療の本質は口腔の健康の維持増進にあると思います。そして、その医療のあるべき姿は、患者さんの生活に根ざしており健康でいられるかどうかのモノサシで図るものであり、患者さんが医療効果の恩恵に最大限あやかれるように配慮した医療を真情としています。
歯科医である我々は、患者さんの口腔の健康を守ることに、生涯ご自分の歯で、安心していさせてあげられることが、最も価値のある歯科医療であるのは疑いのない事実であります。
その実現に向け努力すべきなのは当然の責務であり、同時に医療行為を通して、患者さんの生活の質の向上にも寄与すべきであると考えています。
不幸にも多くの歯を失われたり、つらい入れ歯で悩んでいる方々がいれば、その救済策であるインプラントを使用した歯科医療は構造的や時間的な無駄も省き、やるならば『最善か無か』の判断でインプラント治療のご決心を抱く方々に、余すところなく我々の持てる力を発揮し貢献していけたら、歯科医療人として最大の誇りを持ってもよいと考えています。












